الدكتورة هبة عبد الحليم دكتور التهاب عصب الاسنان في الاردن علاج عصب الاسنان في الاردن دكتور عصب اسنان في عمان دكتور سحب عصب في عمان

  • طب وجراحة الفم والاسنان

الوصف


الدكتورة هبة عبد الحليم
طب وجراحة الفم والاسنان
Dr. Heba Abdulhalim
Tel:0096265563046
Tel:00962797766063
عمان - خلدا - شارع وصفي التل - مجمع الحياة - الطابق الثاني

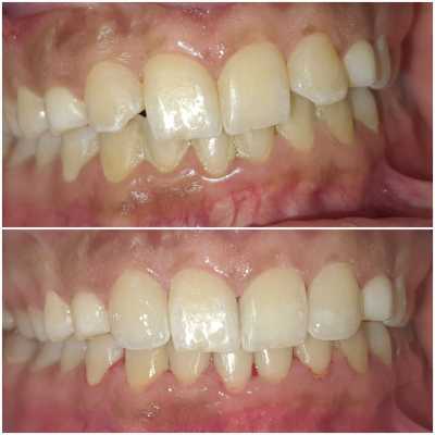
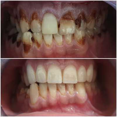
الخدمات التي تقدمها العيادة:
زراعة الاسنان
علاج العصب
تركيبات الاسنان الثابتة والمتحركة
القشور الخزفية والحشوات التجميلية
علاج اللثة
تقويم الاسنان
علاج اسنان الاطفال
جراحة الاسنان
بوتكس
فيلر
ميزوثيرابي

الدكتورة هبة عبد الحليم
تخرجت من جامعة العلوم والتكنولوجيا الاردنية
عضو الاكاديمية البريطانية لزراعة وتجميل الاسنان
حاصلة على العديد من دورات في علاج العصب
وتجميل الاسنان والبوتكس والفيلر
دورات متقدمة في زراعة وتركيب الاسنان
علاج عصب الاسنان في الاردن

افضل دكتور عصب اسنان في عمان
دكتور سحب عصب في عمان
اخصائي عصب اسنان في الاردن
اخصائية عصب اسنان في عمان


التواصل

  • العنوان : عمان - خلدا - شارع وصفي التل - مجمع الحياة - الطابق الثاني
  • الهاتف : 0096265563046
  • الجوال: 00962797766063

موقع على الخارطة

الذهاب الى الخريطة

Copyright @ Modern Jordan. All Rights Reserved by Techs Factory